Vår kunskapsbank
Provrörsbefruktning
Provrörsbefruktning är det namn som används i dagligt tal för att beskriva det som annars kallas för IVF, eller In Vitro Fertilisering. In vitro betyder "i glas/rör" och fertilisering är detsamma som befruktning. Metoden innebär att ägg befruktas utanför kroppen, i ett IVF-laboratorium. Hur går det till? Kvinnan genomgår en hormonstimulering, vilket får ett antal [...]
PGD och PGS
PGD (Preimplantorisk Genetisk Diagnostik) och PGS (Preimplantatorisk Genetisk Screening), innebär att man undersöker embryon för genetiska defekter innan de implanteras. Detta görs för att undvika att implantation sker med ett embryo som bär anlag för en allvarlig sjukdom eller som har kromosomskada (dubbel eller avsaknad av hel kromosom eller del av kromosom) men för att proceduren [...]
Pergotime
I dagsläget är läkemedlet Pergotime avregistrerat i Sverige men det används fortfarande utomlands. Det finns inte något synonympreparat men läkemedlen Letrozol och Tamoxifen kan också användas för att stimulera till ägglossning. Vad är Pergotime? Läkemedlet stimulerar ägglossningen hos kvinnor som lider av PCOS eller liknande störningar. Tabletterna ökar kroppens hormonnivåer, speciellt FSH, så att ägglossningen fungerar [...]
PCOS – Poly Cystiskt Ovarie Syndrom
PCOS, eller Poly Cystiskt Ovarie Syndrom, är en sjukdom som innebär att kvinnan har många äggblåsor i äggstockarna. I dessa fall har de flesta även en förhöjd nivå av manligt könshormon (testosteron) i blodet. Detta innebär ofta att du sällan eller kanske aldrig har ägglossning eller mens. Du kan också ha problem med hårväxt på [...]
Fertilitetsutredning – Hur går det till?
Många anser att skaffa barn är någonting som är helt självklart. Man ägnar inte så mycket tankar åt det innan man inser att det inte går. Det är faktiskt så att 15 % av alla par drabbas av ofrivillig barnlöshet. Av dem som drabbas brukar man säga att en tredjedel av fallen beror på något [...]
Fertilitetstest för kvinnor
I dagsläget finns det många företag som gärna vill sko sig på på dem som drabbats av ofrivillig barnlöshet. Detta innebär förstås att det finns en uppsjö av så kallade fertilitetstest för både kvinnor och män. Är du intresserad av att göra ett sådant, och det kan vara nog så frestande bara för att det [...]
Fertilitetstest – Vad är det?
Det råder en viss språkförbistring på området fertilitetstest och fertilitetsutredningar. Ibland används orden för att beskriva samma sak, alltså en fertilitetsutredning, och ibland för att beskriva två helt olika saker. För att göra det hela ännu mer förvirrande händer det att man, i dagligt tal, använder ordet fertilitetstest för att beskriva så kallade ägglossningstest som [...]
Fertilitetskliniker
I dagsläget finns åtskilliga fertilitetskliniker, både offentliga och privata. Som patient har du möjlighet att söka dig till vilken klinik du vill i hela landet och är alltså inte bunden till den klinik som ligger närmast eller som hör till ditt landsting. En del landsting köper behandlingar från privata kliniker. Att söka klinik utanför landstinget [...]
Fertilitetsbehandling
Fertilitetsbehandling – Hur går det till? Det finns flera olika typer av fertilitetsbehandling och vilken som används beror på parets bakgrund och hälsohistoria. Innan behandling påbörjas skall föregås av en grundlig utredning och undersökning. Några snabba råd angående livsstil I vissa fall är det tillräckligt att se över hälsoläget hos paret i fråga. Det [...]
Fertilitet
Fertilitet, dvs förmågan att fortplanta sig är någonting som de flesta tar helt för givet. Det är först när det inte fungerar som man börjar tänka på begreppet. Så, vad innebär egentligen begreppet fertilitet och vilka fakta och myter omger det? Fortsätt läsa Fertilitet
Endometrios
Endometrios är en sjukdom med många ansikten. Endometrios innebär att livmoderslemhinna växer på andra ställen i kroppen än inuti livmodern. Denna slemhinna växer och stöts av precis i takt med menstruationscykeln. Det uppstår då en mensblödning runt det område där endometrios sitter. Fortsätt läsa Endometrios
Fertilitet ålder
Fertilitet och åldrande Det är antagligen allmänt känt att fertiliteten minskar med åldern. Detta främst hos kvinnor men det drabbar även män, om än inte i samma utsträckning. Fortsätt läsa Fertilitet ålder
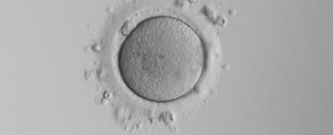
Embryo – dess utveckling
De två cellerna som ska bilda embryot är från början två helt separata könsceller, ett ägg och en spermie. Vid befruktningen smälter de samman och deras DNA (arvsanlag) bildar en gemensam cellkärna. Efter många celldelningar, utveckling och tillväxt bildas en fungerande människa. Det är en komplicerad process och det är inte konstigt att detta tar [...]
Kan man göra bruttolöneavdrag för IVF?
Senast uppdaterad: 1 oktober 2018 Sedan 1 juli 2018 finns inte längre möjligheten att göra bruttolöneavdrag (även kallat löneväxling) för att kunna sänka sin kostnad för vissa privata medicinska behandlingar som exempelvis ögonoperationer och IVF-behandlingar. Regeringen ändrade skattereglerna, vilket innebär att privat sjukvård numera är skattepliktigt. På grund av detta blir det inte någon [...]
Barnlöshetsutredning
En barnlöshetsutredning syftar till att undersöka förutsättningarna att kunna bli gravid på egen hand. Många gånger hittar läkaren inga fel, andra gånger finns det uppenbara förklaringar. Det är sällan att resultaten är definitiva. Det finns en gråskala och det är sällan svart eller vitt. Utredningen skall ge svar på era möjligheter att uppnå graviditet på [...]
Information om befruktning
Fördjupa dina kunskaper inom befruktning I det här inlägget går vi igenom grundläggande fakta och information kring befruktning. I skolundervisningens preventivmedelsrådgivning får alla information om att det är så lätt att bli gravid, det gäller att se upp. När man senare verkligen försöker är chansen i bästa fall 25% per månad. Med åldern avtar möjligheterna [...]
Manlig infertilitet
Manlig infertilitet – Orsaker till ofrivillig barnlöshet Vad är då bakgrunden till manlig infertilitet? Orsakerna till manlig infertilitet går inte alltid att fastställa men vissa faktorer vet läkarvården kan orsaka problem, bland annat medfödda tillstånd, infektioner eller levnadssätt. Ungefär 30 % av alla drabbade kan idag inte få någon diagnos, men det bedrivs hela [...]
Vill du bli kontaktad gällande utredning & behandling vid ofrivillig barnlöshet?
[contact-form-7 id=”2616″ title=”Kontaktformulär 1″]